구내염에 좋은 비타민 함유 식품


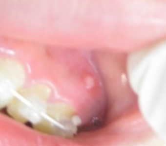
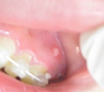
피곤하면 입 속에 뭐가 나거나 입 안이 헐기도 하는데요, 게다가 영양실조도 아닌데 입꼬리 양쪽에도 뭔가 부스럼 같은 것이 나기도 하는 여러가지 구내염 증상 나타나면 물론 병원가서 약 처방 받는 것이 가장 빠르긴 합니다.



하지만 제 주변에도 의외로 병원가거나 또는 그냥 약국에 가서 약을 사 먹는 것조차 싫어하는 사람들이 많더라구요. 그냥 나을 때까지 있는다거나 증상에 맞는 좋은 음식 찾아 먹겠다 하는 사람들도 많이서 오늘은 그 중에서도 특히 구내염 증상에 좋은 비타민 함유하고 있는 식품 알아보았습니다.
구내염 증상에 좋은 비타민은 우선 비타민B2, B6, C 이 세가지로 정리해 볼 수 있습니다.



비타민B2는 구내염에 좋기도 하며 피부염, 피부트러블 등에도 효과적입니다. 피부와 모발, 손발톱을 건강하게 하는데 ㅏ반드시 필요한 영양소 입니다.


비타민B2 많은 음식 식재료는 연어, 빙어, 장어, 재첩, 치즈, 우유, 계란, 시금치 등입니다. 구내염 뿐만 아니라 지방과 단백질을 에너지로 바꿔주는 역할을 하기도 합니다. 그리고 피로가 쌓여있을 때도 피로를 풀어주는 역할도 합니다.


비타민B6은 비타민B2와 마찬가지로 피부와 점막을 건강하게 해 줍니다. 그리고 탄수화물과 지방과 단백질을 에너지로 바꿔서 피로회복 효과를 기대할 수도 있습니다.
비타민B6가 많은 음식 식재료는 양배추, 대두, 대두가공식품, 바나나, 계란, 재첩, 연어, 현미, 보리 등입니다. 특히 이 영양소는 임신한 여성과 술을 자주 마시는 사람들에게 특히 부족해지기 쉬운 영양소입니다.



비타민C는 구내염 증상 원인 중 하나인 스트레스에 대한 저항력을 높여 주는 영양소입니다. 또한 입 안 염증과 상처를 치유하고 면역력을 높여주는 효과가 있습니다.


비타민C가 많은 음식 식재료는 딸기, 키위, 감, 파프리카, 피망, 브로콜리, 감자, 고구마, 양배추, 단호박 등이 있습니다. 다만 비타민C는 수용성으로 물에 쉽게 녹기도 하고 몸에 들어가면 2~3시간에 배출됩니다.




최근댓글